Week 1510 - Even More Geeking Out
MacMini M4, Totalsegmentator.com, Claude for Reports, Embeddable AI, Claude for Tracking
The Concept Explained

Full Audio
Link to click if you don't see the audio below.
Full YouTube Podcast Link
Text
Everything seems to have a domino effect.
In my Jun 2025 piece, I wrote about how I dictated reports on the Philips Voice Recorder and then AirDropped them into MacWhisper on my computer, and then copy-pasted the transcription into an appropriate Claude template to get my reports done in under a minute.
Then in passing in my 1519 piece in Dec, I mentioned how I switched to the native Voice Memos app on the iPhone, which transcribes automatically and all I now do is copy the transcript, paste it into the appropriate Claude template and my report is done. Claude itself has become faster and better over the last 9 months and it corrects everything so well, that I don’t see myself using humans for reports again ever.
I was wondering about this at the IRIA Annual Conference, where there were at least 5 stalls selling radiologist developed softwares, either RIS-PACS or reporting softwares to automate and simplify reporting. It was heartening to see radiologists taking the lead and becoming entrepreneurs, but I couldn’t help asking them why this would work, especially now that it has become so simple for anyone to do this on their own, using easily available apps and tools. I was told by 3 of them that most radiologists, despite their label of being tech-savvy, are not, and need hand-holding and hence these business enterprises. I hope they do well quickly because my prediction is that all of these are going to be extremely short-lived in this fast-changing landscape.
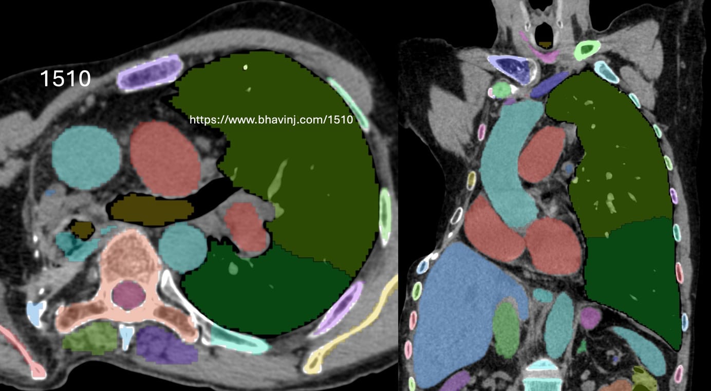
My first Geeking Out post was in Feb 2025, a year back when I wrote about setting up a workstation with two 27 inch screens using a MacMini M4 with 16GB RAM and 256GB hard disk and two 2TB externals SSDs. I have installed them wherever I read scans. I needed to make one more and this time I bought an M4 with 24GB RAM and 512 GB hard disk, so that I could use the Totalsegmentator plugin in OsirixMD, which needs 24GB RAM to run. The CT scan segmentation is just brilliant as this one image shows and it was worth the upgrade of one of my workstations just to be able to do this. Each organ is color coded and labeled (this is a patient of thoracoplasty that I did a Case of the Day of last week)

I have been using commercial monitors from Samsung, Dell, LG…whatever fits the bill at that time. At the IRIA, I saw an LG stall for medical grade monitors and earlier this week I replaced one of my monitors on which I run OsirixMD to a 27 inch medical grade one. I am experimenting with the settings to see if it makes a difference.
While Claude and Gemini have outpaced ChatGPT for now, none of the LLMs or even other apps are of any use when it comes to reporting scans. Over time, I have now realized what I really want…reading Om Malik’s piece on Claude for Excel and embeddable AI put all of this in perspective.
What would embeddable AI look like? For example, when I am reading a lung scan for nodules, it would be great, if there is an AI assistant hovering in one corner on OsirixMD marking nodules as I scroll. It doesn’t help if this is done by apps in advance and then you have to took at additional annotated images or studies…that is just a waste of time. I asked Claude Cowork whether this is possible and it says it could make a plugin for OsirixMD and run it through a local Python interference server, but that is too much for me to do - I will have to learn Python and while none of that is rocket science, I am assuming I could get someone to do that. If anyone reading this is interested, that is a project worth the effort.
These are such wonderful times…the pace far outstrips what we can keep up with and more and more there are solutions we can create ourselves (like the first teleradiology setup ever in the country that we created way back in 1996) to improve our workflow and more importantly patient care. The better and faster we can report, the more we can find, the less we will miss and better will be the diagnosis and eventually patient outcomes. That is and has to be the end-goal always.
PS: I wrote this piece for last week, i.e. 1511 and then just didn’t get the time to record the audio and post it. This weekend I experimented with Claude and the Slack channels we use for internal communication for everything from patient appointments, to keeping track of reports pending, reports done, MRI protocols, etc to see if we could get better clarity of what exactly was going on. Except for images and pdfs which have to be fed to Claude directly, Claude is able to monitor multiple channels and give an overview of the current status whenever prompted and I think this will make life easier. We also use a software called Twist to monitor the status of our biopsies, biopsy reports and opinions and using Zapier, I was able to connect Twist to Claude to get a better bird’s eye view of the status. It took time to setup but hopefully it will be worth it. Time will tell.
Bhavin's Writings Newsletter
Join the newsletter to receive the latest updates in your inbox.